Mokslininkai pirmą kartą sudarė žmogaus smegenų kanalizacijos sistemos žemėlapį
Žurnale PNAS paskelbtos išvados patvirtino, kad egzistuoja glimfinė sistema, kurią mokslininkai 2012 m. pirmą kartą aptiko pelių smegenyse.
Ši sistema perneša smegenų išorę plaunantį smegenų skystį į smegenų vidų, tiekdama maistingąsias medžiagas ir šalindama iš smegenų audinio atliekas, pavyzdžiui, baltymus, rašo ScienceAlert.
Nuo 2012 m. keli tyrimai parodė, kad glimfinė sistema egzistuoja ir žmogaus smegenyse, tačiau nepastebėjus skysčio judėjimo iš išorinės smegenų dalies į erdvę tarp neuronų, ši idėja išliko labai prieštaringa.
Neurologas Chuanas Piantino (Juan Piantino) pažymėjo: „Glimfinė ląstelė yra viena iš svarbiausių smegenų sistemos dalių:
„Visada buvau skeptiškas jos atžvilgiu, ir vis dar yra daug skeptikų, kurie ja netiki. Būtent dėl to šis atradimas yra toks nuostabus“.
Piantino ir jo kolegos pirmieji vizualizavo bespalvį skystį, kuris teka į gyvo žmogaus smegenų audinius. Jų rezultatai patvirtina ankstesnius vaizdavimo tyrimus.
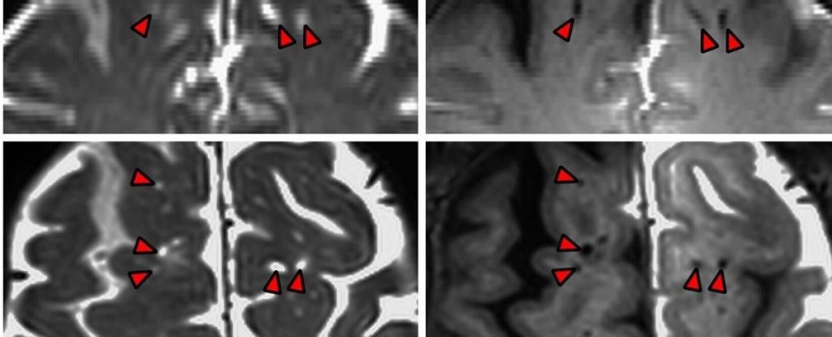
Tyrimas tapo įmanomas gavus penkių suaugusiųjų, kuriems buvo atlikta smegenų operacija ir kuriems dėl šios procedūros reikėjo išleisti smegenų skystį, sutikimą.
Prieš pakeičiant skystį, mokslininkai skystį pažymėjo tamsiu kontrastiniu žymekliu. Vėliau specialiu magnetinio rezonanso tomografu buvo nustatyta, kur žmonių smegenyse skystis patenka.
Rezultatai parodė, kad smegenys nesugeria smegenų skysčio atsitiktinai, kaip kempinė.
Vietoj to skystis skverbiasi giliau į nervinį audinį, sekdamas kraujagyslių pėdsakais.
Šie aiškiai apibrėžti smegenų skysčio kanalai iš tikrųjų apjuosia išorinį kraujagyslių paviršių.
Šių „perivaskulinių erdvių“ ribas sudaro smegenų ląstelės, kurių galai prilimpa vienas prie kito, sudarydami pralaidų barjerą.
Mokslininkai mano, kad būtent ši membrana leidžia smegenų skysčiui maišytis su skysčiu, kuris minkština ir palaiko mūsų smegenų ląsteles, tiekia maistines medžiagas ir šalina atliekas.
Neurochirurgė Erin Yamamoto pažymėjo, kad jų atlikto tyrimo magnetinio rezonanso nuotraukose „iš tikrųjų matyti, kaip tamsios perivaskulinės smegenų erdvės laikui bėgant tampa šviesios“, nes kontrastinis indikatorius prasiskverbia giliau.
Šie smegenų skysčio kanalai žmogaus smegenyse buvo vizualizuoti ir anksčiau, tačiau kadangi tyrėjai atliko MRT tyrimus praėjus 12, 24 ir 48 valandoms po operacijos, jie galėjo geriau stebėti skysčio dinamiką.
Rezultatai rodo, kad smegenų skysčio kanalai nėra sustingusios, skysčio pripildytos struktūros, o „funkciniai kanalai“, kurie palengvina „smegenų skysčio pasiskirstymą smegenyse“.
„Žmonės manė, kad šios perivaskulinės erdvės yra svarbios, tačiau tai niekada nebuvo įrodyta. Dabar tai įrodyta“, - pridūrė Piantino.

Rašyti komentarą