Vyras sužinojo, kad visą laiką gyveno su puse smegenų: išdavė dažnas simptomas
44 metų vyras iš Pietų Prancūzijos, kurio vardas nepaminėtas, apie dvi savaites jautė silpną skausmą ir silpnumą kojoje, todėl nusprendė apsilankyti pas gydytoją.
Daugiau nei trečdalis amerikiečių patiria tam tikros formos kojų skausmus, kurie dažniausiai kyla dėl raumenų įtempimo, artrito arba sunkiau nustatomų priežasčių, pavyzdžiui, kraujagyslių problemų.
Kai gydytojai atmetė įprastas fizines priežastis, jie sunerimo, kad skausmą gali sukelti neurologinė būklė, paveikianti nervų galūnėles.
Nors jo medicinos istorijoje nebuvo pastebėta jokių reikšmingų nukrypimų, jie atkreipė dėmesį, kad jam šešių mėnesių amžiaus buvo atlikta šunto operacija.
Šunto operacija – tai plono vamzdelio implantacija į smegenis, kad perteklinis skystis būtų nutekintas į kitą kūno vietą – buvo atlikta dėl pernelyg didelio skysčio kaupimosi smegenyse, tačiau priežastis nebuvo nustatyta.
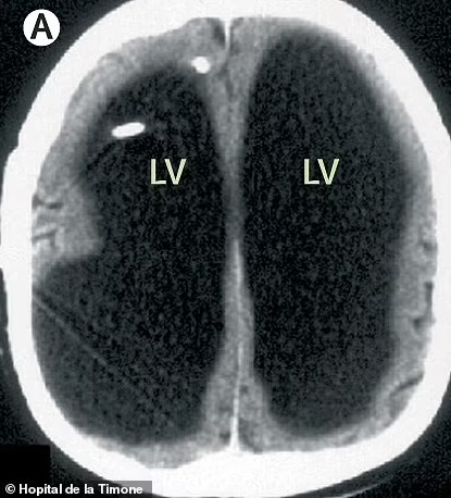
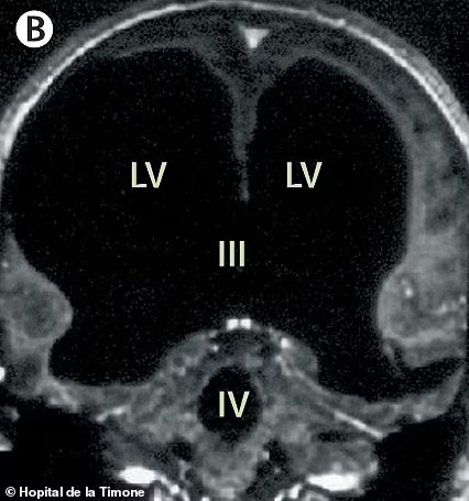
Šuntas vėliau buvo pašalintas, kai jam buvo 14 metų. Atlikus kompiuterinės tomografijos (KT) ir magnetinio rezonanso tomografijos (MRT) skenavimus, gydytojai buvo šokiruoti pamatę didžiulę skysčio ertmę ten, kur turėjo būti smegenys.
Nuotraukose, pasidalintose medicinos žurnale „The Lancet“, pagrindinė vyro smegenų sritis atrodo juoda, matosi, kur kaupėsi skystis.
Paciento smegenyse esantys nutekėjimo vamzdeliai susiaurėjo, dėl ko per dešimtmečius susikaupė skysčio perteklius.
Dėl to jo smegenys buvo suspaustos į ploną sluoksnį, spaudžiamą prie kaukolės krašto.
Dėl šios priežasties jo kaukolė taip pat padidėjo.
Komentuodamas šį atvejį, Lionelis Feuillet, Marseilio Viduržemio jūros universiteto neurologas, sakė tuo metu, kai atvejo aprašas buvo paskelbtas 2004 m.: „Buvome labai nustebę, kai pirmą kartą peržiūrėjome KT skeną.
Smegenys buvo daug, daug mažesnės nei įprastai. Pagal mūsų žinias, šis atvejis yra unikalus.“
Dr. Feuillet teigė, kad jo komanda „niekada anksčiau nebuvo susidūrusi su tokia sudėtinga hidrocefalija“ ir tikėtina, kad vyras turėjo šią būklę nuo gimimo.
Siekiant nustatyti, kaip jo būklė paveikė psichinę veiklą, gydytojai atliko seriją psichologinių testų vyrui.
Jie dar labiau nustebo, kad jis vis dar sugebėjo pakankamai funkcionuoti, turėdamas intelekto koeficientą (IQ) 75, tai yra žemutinėje „normos“ riboje.
Vyras taip pat sugebėjo susikurti sėkmingą gyvenimą: jis turėjo žmoną, du vaikus ir darbą valstybės tarnyboje.
Dr. Feuillet teigė, kad problemos su vyro kaire koja buvo neurologinis simptomas, susijęs su jo smegenų būkle.
JAV hidrocefalija, dar vadinama „vandeniu smegenyse“, pasireiškia vienam iš 770 naujagimių, todėl ši būklė yra tokia pat dažna kaip Dauno sindromas ir dažnesnė nei spina bifida ar smegenų navikai.
Ši būklė dažniausiai pasitaiko tiek kūdikiams, tiek vyresnio amžiaus suaugusiems ir gali būti besimptomė, kas paaiškina, kodėl vyras daugelį metų nepastebėjo jokio poveikio savo sveikatai.
Kai simptomai pasireiškia, dažniausiai atsiranda galvos skausmai, pykinimas ir vėmimas, sunkumai vaikštant, regėjimo problemos, atminties sutrikimai, šlapimo nelaikymas ir traukuliai.
Gydymas – šunto operacija, o jei būklė yra negydoma, hidrocefalija gali būti mirtina dėl padidėjusio spaudimo, kuris suspaudžia smegenų kamieną, atsakingą už širdies ritmą ir kvėpavimą.
Paciento prognozė po operacijos priklauso nuo jo amžiaus ir bendros sveikatos būklės.
Po gydymo vyras visiškai pasveiko, nors vėlesni skenavimai parodė, kad jo smegenų dydis nepakito.
Šaltinis: dailymail.co.uk

Rašyti komentarą